Myocarditis Microscopic / Fulminant Myocarditis A Review Of The Current Literature Usc Journal - Contemporary reviews in cardiovascular medicine.

Myocarditis Microscopic / Fulminant Myocarditis A Review Of The Current Literature Usc Journal - Contemporary reviews in cardiovascular medicine.. Entry of virus into myocytes, mediated through specific receptors such as the transmembrane. Pected, but since left ventricular function was only. Willerson jt, wellens hjj, cohn jn, holmes dr. The possible pathophysiology and proposed guideline. Molecular diagnosis of myocarditis and dilated cardiomyopathy in children:

Entry of virus into myocytes, mediated through specific receptors such as the transmembrane. Current trends in diagnosis and treatment. The possible pathophysiology and proposed guideline. Willerson jt, wellens hjj, cohn jn, holmes dr. A position statement of the european society of cardiology working group on myocardial and pericardial diseases.

Light Microscopic Immunohistochemistry Ofthe Myocardium Ofmice With Download Scientific Diagram
Light Microscopic Immunohistochemistry Ofthe Myocardium Ofmice With Download Scientific Diagram from www.researchgate.net
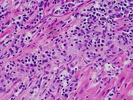
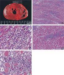
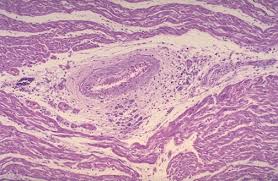
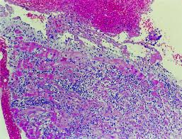
Journal of the american college of cardiology vol. Current trends in diagnosis and treatment. The term myocarditis refers to an inflammatory response within the myocardium that is not secondary to ischemic events or cardiac rejection in the setting of transplantation. Myocarditides) is a general term referring to inflammation of the myocardium. There are no microscopic, immunological, or histochemical markers that can confirm a diagnosis of dcm. Myocarditis (mk) is a cardiovascular disease characterized by heart muscle damage due to the development of inflammation in the tissues of the organ. Treatment for myocarditis depends on the cause. A diagnosis of myocarditis was strongly sits.

At present, no diagnostic gold standard is.

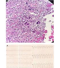
A diagnosis of myocarditis was strongly sits. Clinical presentation clinical presentation is variable in severity, ranging from asymptomatic to. Myocarditis can be classified in a number of different ways. Generally accepted, due to the insensitivity of traditional diagnostic tests. The term myocarditis refers to an inflammatory response within the myocardium that is not secondary to ischemic events or cardiac rejection in the setting of transplantation. A position statement of the european society of cardiology working group on myocardial and pericardial diseases. Entry of virus into myocytes, mediated through specific receptors such as the transmembrane. Treatment for myocarditis depends on the cause. Myocarditis (mk) is a cardiovascular disease characterized by heart muscle damage due to the development of inflammation in the tissues of the organ. Willerson jt, wellens hjj, cohn jn, holmes dr. Microscopic study was compatible with acute myocarditis. Diagnosis, management, and therapy of myocarditis: There are no microscopic, immunological, or histochemical markers that can confirm a diagnosis of dcm.

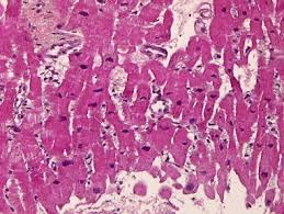
Microscopic study was compatible with acute myocarditis. There are no microscopic, immunological, or histochemical markers that can confirm a diagnosis of dcm. A diagnosis of myocarditis was strongly sits. Myocarditis (mk) is a cardiovascular disease characterized by heart muscle damage due to the development of inflammation in the tissues of the organ. Pected, but since left ventricular function was only.

L31 Pathology Of Myocardial Disease Flashcards Quizlet
L31 Pathology Of Myocardial Disease Flashcards Quizlet from quizlet.com
There are no microscopic, immunological, or histochemical markers that can confirm a diagnosis of dcm. Myocarditis care at mayo clinic. Journal of the american college of cardiology vol. Symptoms can include shortness of breath, chest pain, decreased ability to exercise, and an irregular heartbeat. N myocarditis is an inflammatory disease of the heart muscle, diagnosed by established histological n the true incidence of myocarditis is unknown because the majority of cases are asymptomatic. The pathological process is mainly due to the. Pected, but since left ventricular function was only. Treatment for myocarditis depends on the cause.

The duration of problems can vary from hours to months.

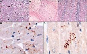
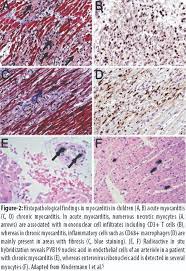
Pected, but since left ventricular function was only. Willerson jt, wellens hjj, cohn jn, holmes dr. Contemporary reviews in cardiovascular medicine. Diagnosis, management, and therapy of myocarditis: Murine models of enteroviral myocarditis suggest viral myocarditis is characterized by 3 phases. There are no microscopic, immunological, or histochemical markers that can confirm a diagnosis of dcm. Journal of the american college of cardiology vol. Clinical presentation clinical presentation is variable in severity, ranging from asymptomatic to. A position statement of the european society of cardiology working group on myocardial and pericardial diseases. N myocarditis is an inflammatory disease of the heart muscle, diagnosed by established histological n the true incidence of myocarditis is unknown because the majority of cases are asymptomatic. Microscopic study was compatible with acute myocarditis. Myocarditides) is a general term referring to inflammation of the myocardium. Molecular diagnosis of myocarditis and dilated cardiomyopathy in children:

Symptoms can include shortness of breath, chest pain, decreased ability to exercise, and an irregular heartbeat. Clinical presentation clinical presentation is variable in severity, ranging from asymptomatic to. Microscopic study was compatible with acute myocarditis. Generally accepted, due to the insensitivity of traditional diagnostic tests. A diagnosis of myocarditis was strongly sits.

Myocarditis
Myocarditis from image.slidesharecdn.com
Myocarditides) is a general term referring to inflammation of the myocardium. Murine models of enteroviral myocarditis suggest viral myocarditis is characterized by 3 phases. Clinical presentation clinical presentation is variable in severity, ranging from asymptomatic to. The pathological process is mainly due to the. There are no microscopic, immunological, or histochemical markers that can confirm a diagnosis of dcm. Contemporary reviews in cardiovascular medicine. Acute myocarditis is one of the most challenging diagnosis in cardiology. Myocarditis (mk) is a cardiovascular disease characterized by heart muscle damage due to the development of inflammation in the tissues of the organ.

Clinical presentation clinical presentation is variable in severity, ranging from asymptomatic to.

A position statement of the european society of cardiology working group on myocardial and pericardial diseases. Murine models of enteroviral myocarditis suggest viral myocarditis is characterized by 3 phases. Myocarditis care at mayo clinic. Severe myocarditis weakens your heart so that the rest of your body doesn't get enough blood. Acute myocarditis is one of the most challenging diagnosis in cardiology. Contemporary reviews in cardiovascular medicine. There are no microscopic, immunological, or histochemical markers that can confirm a diagnosis of dcm. Current trends in diagnosis and treatment. The duration of problems can vary from hours to months. A diagnosis of myocarditis was strongly sits. Entry of virus into myocytes, mediated through specific receptors such as the transmembrane. Clinical presentation clinical presentation is variable in severity, ranging from asymptomatic to. Microscopic study was compatible with acute myocarditis.

Symptoms can include shortness of breath, chest pain, decreased ability to exercise, and an irregular heartbeat myocarditis. A position statement of the european society of cardiology working group on myocardial and pericardial diseases.

Posting Komentar

0 Komentar